Мы работаем с микроскопом!

Работа с микроскопом -это новый стандарт в стоматологии!!! И безоговорочное качество!!!

В клинике "Парнас Дент" врачи работают с микроскопом.

Найти дополнительный канал, извлечь инородное тело, закрыть перфорацию!



Cоздать уступ при обработке зуба под коронку, увидеть трещину, эстетические реставрации…



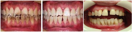
Провести профессиональную чистку, или кюретаж пародонтальных карманов, эстетическая пародонтология …



В нашей клинике установлен микроскоп компании Carl Zeiss.



Микроскоп поможет увидеть то, что невооруженным глазом рассмотреть невозможно!

Подробнее: Стоматологическая клиника "Парнас Дент"
Новость добавлена: 30.12.2015
Метки:



Комментарии пользователей: "Мы работаем с микроскопом!"



Если вам есть что сказать об этом заведении, вы можете оставить отзыв в системе комментариев. Пожалуйста, оставляйте только обоснованные отзывы, чтобы другие посетители, которым на данный момент интересна информация про компанию , смогли увидеть конструктивные мнения.

Чтобы прокомментировать , регистрация не нужна. Напишите свое имя, имейл (по желанию) и сам текст отзыва. Напоминаем, что отзывы по компании , которые будут необоснованными, с использованием нецензурной лексики и т.д. могут быть удалены модератором портала без уведомления автора.



Добавить комментарий ↑ в начало